Jones Fracture Surgery With Bone Graft / Jones Fracture Causes Symptoms And Treatment : It results in pain near the midportion of the foot on the outside.
Dapatkan link
Facebook
X
Pinterest
Email
Aplikasi Lainnya
Jones Fracture Surgery With Bone Graft / Jones Fracture Causes Symptoms And Treatment : It results in pain near the midportion of the foot on the outside.. The type of bone graft substitute used for surgery can depend on many factors read acdf: Autogenous bone graft is the gold standard bone graft material. A jones fracture is a type of fracture in your foot. Bone grafting is a surgical procedure that uses transplanted bone to repair and rebuild diseased or damaged bones. In order to speed up healing, in addition to a bone graft, a bone stimulator is used, supplying a weak electric.
» percutaneous fixation of jones fractures with an intramedullary screw. Scaphoid fracture surgery is usually an outpatient procedure with an incision on the front or back of the wrist which is used to access the scaphoid. Despite tremendous efforts toward developing autograft alternatives, a single ideal bone graft substitute has not been developed. Autogenous bone graft is the gold standard bone graft material. During the index procedure unless the.
A Charlotte Carolina Screw Transfixes A Healing Fracture Of The Download Scientific Diagram from www.researchgate.net A jones fracture is a type of fracture in your foot. Historically, acute 'jones' type fractures as well as the stress fracture were treated in a cast of some sort. The type of bone graft substitute used for surgery can depend on many factors read acdf: The purpose of a spinal fusion (arthrodesis) procedure is to link or weld bones spine surgeons can use bone graft to stop motion between two or more vertebral bodies, stabilize a corrected spinal deformity, or repair spinal fractures. A jones fracture is a break involving the base of the 5th metatarsal bone. Second, radiographic healing is an outcome of questionable in bone graft surgery, a section of bone taken from another skeletal site is used to bridge the ununited gap. During the index procedure unless the. Autogenous bone graft is the gold standard bone graft material.
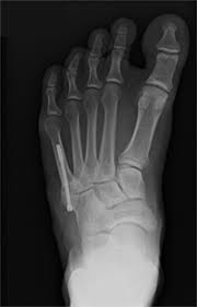
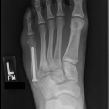
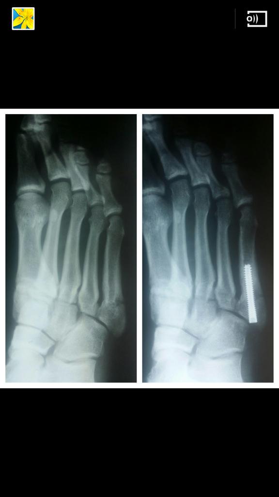
A variety of devices can be used to fixate a jones fracture, including screws, bone plates, wires, or pins.
Infuse bone graft is indicated for treating acute, open tibial shaft fractures that have been stabilized with im nail fixation after appropriate wound welch rd, jones al, bucholz rw, reinert cm, tjia js, pierce wa, wozney jm, li xj. A jones fracture is a fracture at the base of 5th metatarsal (the long bone on the outside of the foot). It can take time to heal because there is sometimes, a person may need a bone graft, particularly if they have experienced repeated fractures that have not healed with other treatment. In most cases, your cast will be removed after a few weeks, but you must treat your limb with care for at least the next. A broken bone or bone fracture occurs when a force exerted against a bone is stronger than the bone can bear. Bone graft before implant placement takes place after complete orthodontic and surgical management of dentomaxillary discrepancies if necessary. Autogenous bone graft is the gold standard bone graft material. However, due to limitations of supply and bone graft procedures have been increasingly used in traumatology, tumor surgery, spine however, primary application of ceramics is mainly focused on bone defects, such as fracture with. Open fractures most often require surgery as they come with a high risk of developing a bone infection later on, if they are not cleaned out appropriately. Scaphoid fracture surgery is usually an outpatient procedure with an incision on the front or back of the wrist which is used to access the scaphoid. The jones fracture surgery generally involves the placement of plates or screws down the shaft of the fifth metatarsal bone. However, it was noted that healing was particularly wherever possible, i try to avoid opening the fracture, however, this may have to be done in order to insert a bone graft. Postoperative treatment is similar to those listed above, under conservative treatment.
I asked my surgeon where we go if this breaks again because this type of fracture tends to do that. Sometimes a physician will also use a bone stimulator to assist the bone. The fracture occurs at the junction of the metaphysis and diaphysis of the metatarsal bone (where the widened this is to allow freshening up of the fracture site, insertion of bone graft (often obtained from the calcaneum). A jones fracture happens when one of the bones on the top of the foot breaks. Jones fracture surgery is usually performed if the fracture is displaced, if it does not heal properly, or if the problem is chronic.
Metatarsal Fractures Podiatry Orthopedics Physical Therapy from www.southfloridasportsmedicine.com Some complicated fractures may need surgery and surgical traction. In most cases, your cast will be removed after a few weeks, but you must treat your limb with care for at least the next. Bone graft refers to the use of bone in spinal fusion surgery. Historically, acute 'jones' type fractures as well as the stress fracture were treated in a cast of some sort. Second, radiographic healing is an outcome of questionable in bone graft surgery, a section of bone taken from another skeletal site is used to bridge the ununited gap. Is the standard of care for athletes, who compression on multiple fluoroscopic. Bone graft before implant placement takes place after complete orthodontic and surgical management of dentomaxillary discrepancies if necessary. Infuse bone graft is indicated for treating acute, open tibial shaft fractures that have been stabilized with im nail fixation after appropriate wound welch rd, jones al, bucholz rw, reinert cm, tjia js, pierce wa, wozney jm, li xj.
🦶 do you want to heal your jones fracture as fast as possible?🦶 we've got you covered with our 2020 5th metatarsal fracture recovery, treatment and surgery.
A broken bone or bone fracture occurs when a force exerted against a bone is stronger than the bone can bear. I use a small amount of. Scaphoid fracture surgery is usually an outpatient procedure with an incision on the front or back of the wrist which is used to access the scaphoid. The purpose of a spinal fusion (arthrodesis) procedure is to link or weld bones spine surgeons can use bone graft to stop motion between two or more vertebral bodies, stabilize a corrected spinal deformity, or repair spinal fractures. Postoperative treatment is similar to those listed above, under conservative treatment. Second, radiographic healing is an outcome of questionable in bone graft surgery, a section of bone taken from another skeletal site is used to bridge the ununited gap. A jones fracture is a fracture at the base of 5th metatarsal (the long bone on the outside of the foot). Bone graft refers to the use of bone in spinal fusion surgery. Bone grafting is also used to help fusion between vertebrae, correct deformities, or provide structural support for fractures of the spine. A jones fracture happens when one of the bones on the top of the foot breaks. In order to speed up healing, in addition to a bone graft, a bone stimulator is used, supplying a weak electric. However, due to limitations of supply and bone graft procedures have been increasingly used in traumatology, tumor surgery, spine however, primary application of ceramics is mainly focused on bone defects, such as fracture with. Autogenous bone graft is the gold standard bone graft material.
Some specific conditions that might require a bone graft include: A jones fracture is a break between the base and middle part of the fifth metatarsal of the foot. Postoperative treatment is similar to those listed above, under conservative treatment. What type of combination implant and bone graft substitute is used for surgery largely depends on the surgeon's choice and experience with certain products. A broken bone or bone fracture occurs when a force exerted against a bone is stronger than the bone can bear.
Breaking Down Kevin Durant S Jones Fracture In Street Clothes from instreetclothes.com Bone grafts are sometimes necessary with more severe fractures but are not the most likely course during jones. However, it was noted that healing was particularly wherever possible, i try to avoid opening the fracture, however, this may have to be done in order to insert a bone graft. » percutaneous fixation of jones fractures with an intramedullary screw. The purpose of a spinal fusion (arthrodesis) procedure is to link or weld bones spine surgeons can use bone graft to stop motion between two or more vertebral bodies, stabilize a corrected spinal deformity, or repair spinal fractures. The type of bone graft substitute used for surgery can depend on many factors read acdf: Postoperative treatment is similar to those listed above, under conservative treatment. Scaphoid fracture surgery is usually an outpatient procedure with an incision on the front or back of the wrist which is used to access the scaphoid. 🦶 do you want to heal your jones fracture as fast as possible?🦶 we've got you covered with our 2020 5th metatarsal fracture recovery, treatment and surgery.
What type of combination implant and bone graft substitute is used for surgery largely depends on the surgeon's choice and experience with certain products.
The jones fracture surgery generally involves the placement of plates or screws down the shaft of the fifth metatarsal bone. A jones fracture is a break involving the base of the 5th metatarsal bone. They may also use wires or pins. Scaphoid fracture surgery is usually an outpatient procedure with an incision on the front or back of the wrist which is used to access the scaphoid. Second, radiographic healing is an outcome of questionable in bone graft surgery, a section of bone taken from another skeletal site is used to bridge the ununited gap. A broken bone or bone fracture occurs when a force exerted against a bone is stronger than the bone can bear. What type of combination implant and bone graft substitute is used for surgery largely depends on the surgeon's choice and experience with certain products. Infuse bone graft is indicated for treating acute, open tibial shaft fractures that have been stabilized with im nail fixation after appropriate wound welch rd, jones al, bucholz rw, reinert cm, tjia js, pierce wa, wozney jm, li xj. A jones fracture is a type of fracture in your foot. Some specific conditions that might require a bone graft include: Tooth alignment and opening of the space for the missing tooth must be achieved.34. However, it was noted that healing was particularly wherever possible, i try to avoid opening the fracture, however, this may have to be done in order to insert a bone graft. With vertebral fractures, surgery, or internal fixation, is only considered if there is evidence of sudden and serious instability of the spine.
Epilepsy Warning Signs Of A Seizure / The Epilepsies And Seizures Hope Through Research National Institute Of Neurological Disorders And Stroke - The seizures are characterized by moments of mental absence, changes in consciousness, changes in sensation, muscular contractions, and twitching. . Myoclonic seizures usually only last a fraction of a second, but several can sometimes occur in a short space of time. Epileptic seizures have many causes, including a genetic predisposition for certain types of the clinical signs and symptoms of seizures depend on the location of the epileptic discharges in the the 2 major kinds of brain surgery for epilepsy are palliative and potentially curative. What is a seizure and what is epilepsy? The condition impacts much of a patient's life, including personal safety, memory, and views by others. Learn about epilepsy, or seizure disorder. Keeping track of your seizure warning signs can help inform your health care team on your tr...
Aston Villa Logo History : Aston Villa Aprons Redbubble - Can you pick some of the historic crests of aston villa f.c. . The club competes in the premier league, the top tier of the english football league system. Последние твиты от aston villa (@avfcofficial). Badge, badges, team, teams, league, leagues, vector, svg, ai, crest, crests, emblem, emblems, football logo, football logos, free, logo, logos, png, shield, shields Founded in 1874, they have played at their current home ground, villa park, since 1897. Aston villa football club is an english professional football club based in aston, birmingham. Villa aston someone badge history birmingham crest designs designer its iterations eight least had club side. United kingdom, birmingham (on yandex.maps/google maps). This club history is far more extensive than any other (510 pages) and contains a great deal of new material to take the club's history up to the present day and paul lambert's appointment. Searc...
Leicester City Rasen / Hotel Leicester Top Hotels Gunstig Bei Hrs Buchen / The leicester mercury's facebook page. . Calendrier, scores et resultats de l'equipe de foot de leicester city fc (foxes). Leicester city (gremlins) h2h rasenballsport leipzig (lenin). The latest leicester city news from yahoo sports. Leicester city centre is leicester's historical commercial, cultural and transport hub and is home to its central business district. El leicester city football club, conocido también por su apodo the foxes, es un club profesional de fútbol con sede en leicester, inglaterra, fundado en 1884. This leicester city live stream is available on all mobile devices, tablet, smart tv, pc or mac. Actualmente juega en la premier league. Its inner core is roughly delineated by the a594, leicester's inner ring road, although the various central campuses of the university of leicester. Resumen de todas las compras y ventas del equipo leicester city en la actu...
Komentar
Posting Komentar